Discover ioCells

Programmed identity
in every cell

Human iPSC-derived cells powered by opti-ox, consistency and scalability are built-in.

Mature, functional human
iPSC-derived cells within days,
powered by opti-ox

The future of human health will be defined by technologies that accelerate the world's access to more effective medicines.

Human cells are a cornerstone of fundamental disease research, drug discovery, and clinical translation. Yet, despite decades of research into iPSCs, emerging cures for some of the world’s most pervasive diseases have been bottlenecked by a lack of access to standardised, easy to use and readily accessible human cells.

We built ioCells to solve this challenge.

Developed on our platform, and powered by opti-ox technology, ioCells are human cells deterministically programmed from iPSCs consistently, at scale. With ioCells, scientists no longer need to battle with variance, unreliability, physiological irrelevance and long experimental timelines. Instead, scientists can finally focus on the next great advances in human health.

ioCells are for research use only.

Browse ioCells portfolio

ioSkeletal Myocytes_for partners module

ioWild Type Cells

ioWild Type Cells are defined, easy-to-use, functional iPSC-derived human cells from a healthy donor background that are ready for fundamental research and drug discovery experimentation within days.

Discover ioCells portfolio ICC ioDisease model cells

ioDisease Model Cells

ioDisease Model Cells are ioWild Type Cells engineered to contain disease-relevant mutations. ioDisease Model Cells and ioWild Type Cells form an isogenic pair allowing scientists to make true comparisons.

bb-CRISPR-ready-card

CRISPR-Ready ioCells

CRISPR-Ready ioCells are human iPSC-derived cells constitutively expressing Cas9 nuclease for rapid gene knockout generation. 

bb-iotracker-cards

ioTracker Cells

ioTracker Cells are human iPSC-derived cells constitutively expressing a fluorescent protein for easy visualisation, tracking, and isolation of human cells in live-cell imaging assays.

Benchtop benefits

consistent_0

Consistent

Our platform ensures consistency between every batch of cells, overcoming the challenge of data reproducibility.

cost_0

Cost-effective

ioCells generate quality data at industry leading seeding densities. You can do more with every vial as every well saves you money.

defined_0

Defined

Every ioCell has its identity characterised by ICC, RT-qPCR and RNA-Seq at minimum.

easy_0

Easy-to-use

ioCells are delivered cryopreserved and require a simple protocol using an open-source medium to get started.

quick_0

Quick

Deterministically programmed cells mature rapidly, meaning cells are ready for experimentation and data gathering within days post-revival.

scalable_0

Scalable

With opti-ox technology we can make billions of consistently programmed cells, surpassing the demands of industrial workflows.

What Scientists Say About ioCells

An image of Dr Marijn Vlaming

Dr Marijn Vlaming

Head of Biology - Beerse & Leiden | Charles River

"Using more relevant cell models such as ioCells from bit.bio helps us to test safety and toxicity in vitro, in parallel with efficacy, and as such we will be able to identify the safe or unsafe drug candidates very early in the drug discovery process"

An image of Dr Mariangela Iovino

Dr Mariangela Iovino

Senior Group Leader | Biology Discovery | Charles River

“These cells were really easy-to-use and ready to be plated in the assay format"

An image of Rodney A. Bowling Jr, PhD

Rodney A. Bowling Jr, PhD

Co-Founder & Chief Scientific Officer | Everlum Bio

"I found the customer service at bit.bio to be a premium, I found it to be wonderful”

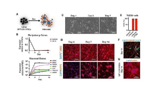
Our deterministic cell programming technology

 

opti-ox-cell_7fps_v03_00033

Every ioCell is powered by opti-ox.


Using opti-ox, populations of stem cells are precisely and consistently programmed into a chosen cell identity. Each vial of ioCells contains a defined and highly characterised population of iPSC-derived human cells that are ready for quality data production in a matter of days. Their high lot-to-lot consistency provides a reliable cell model that enables scientists to conduct repeatable and scalable experiments in drug discovery and disease research. 

Product resources

(LinkedValues: [{hs_name=High Content Analysis of 2D and 3D cellular models for target and phenotypic drug discovery, hs_id=161961134487, hs_path=charles-river-poster-high-content-analysis-of-cellular-models, button_label=View poster, button_link=https://bit.bio/hubfs/BitBio_April2021/pdf%20link/2020_Lachize-et-al_High-Content-Analysis-of-2D-and-3D-Cellular-Models_Charles-River.pdf, type={label=Poster, value=Poster}, thumbnail={alt_text=, width=1700, url=https://14527135.fs1.hubspotusercontent-na1.net/hubfs/14527135/Website%20content/Product%20pages/ioGlutamatergic%20Neurons/bitbio-ioGlutamatergic-Neurons.jpg, height=1300}, year={label=2020, value=2020}, summary=<p>Lachize, et al</p> <p>Courtesy of Charles River Laboratories</p> <p>2020</p>, date_published=1706313600000, sort_date=1602806400000, tags=[{label=ioGlutamatergic Neurons, value=ioGlutamatergic Neurons}, {label=Poster, value=poster}], media_contact=null, listing_button_label=View}, {hs_name=Development and characterisation of a robust in vitro disease model to study tauopathies, hs_id=161961134488, hs_path=ftd-mapt-phenotype-poster-charles-river-mar23, button_label=View poster, button_link=https://14527135.fs1.hubspotusercontent-na1.net/hubfs/14527135/Website%20content/Resources/SFN2022-Development-and-characterization-of-a-robust-in-vitro-disease-model-to-study-tauopathies.pdf, type={label=Poster, value=Poster}, thumbnail={alt_text=, width=1000, url=https://14527135.fs1.hubspotusercontent-na1.net/hubfs/14527135/Website%20content/Product%20pages/MAPT%20P301S/MAPT%20P301SP301S%20final%20homepage%20image.jpg, height=1400}, year={label=2022, value=2022}, summary=<p>Ritsma, et al</p> <p>Charles River Laboratories &amp; bit.bio</p> <p>2022</p>, date_published=1708646400000, sort_date=1678924800000, tags=[{label=ioGlutamatergic Neurons, value=ioGlutamatergic Neurons}, {label=ioGlutamatergic Neurons MAPT P301S/WT, value=ioGlutamatergic Neurons MAPT P301S/WT}, {label=ioGlutamatergic Neurons MAPT P301S/P301S, value=ioGlutamatergic Neurons MAPT P301S/P301S}, {label=ioGlutamatergic Neurons MAPT N279K/WT, value=ioGlutamatergic Neurons MAPT N279K/WT}, {label=Poster, value=poster}], media_contact=null, listing_button_label=View}, {hs_name=Genotype and phenotype validation of an isogenic human iPSC-derived neuronal model of Huntington’s Disease, hs_id=161961134490, hs_path=huntingtons-htt50cag-phenotype-poster-mar23, button_label=View poster, button_link=https://14527135.fs1.hubspotusercontent-na1.net/hubfs/14527135/Website%20content/Resources/bit.bio_Modelling%20neurodegeneration%20using%20a%20human%20isogenic%20system%20A%20next%20generation%20approach%20to%20study%20Huntingtons%20disease_SfN2022-V7.pdf, type={label=Poster, value=Poster}, thumbnail={alt_text=, width=600, url=https://14527135.fs1.hubspotusercontent-na1.net/hubfs/14527135/Website%20content/Product%20pages/ioGlutamatergic%20Neurons%20HTT%2050CAGWT/a-HTT50CAGWT_Overlay__TUBB3(G)_MAP2(R)_DAPI(B)_%20(1).png, height=378}, year={label=2022, value=2022}, summary=<p>Oosterveen, et al</p> <p>bit.bio</p> <p>2022</p>, date_published=1708819200000, sort_date=1679443200000, tags=[{label=ioSkeletal Myocytes, value=ioSkeletal Myocytes}, {label=ioGlutamatergic Neurons TDP-43 M337V Het, value=ioGlutamatergic Neurons TDP-43 M337V Het}, {label=ioGlutamatergic Neurons TDP-43 M337V Hom, value=ioGlutamatergic Neurons TDP-43 M337V Hom}, {label=ioGlutamatergic Neurons MAPT P301S/WT, value=ioGlutamatergic Neurons MAPT P301S/WT}, {label=ioGlutamatergic Neurons MAPT P301S/P301S, value=ioGlutamatergic Neurons MAPT P301S/P301S}, {label=ioGlutamatergic Neurons MAPT N279K/WT, value=ioGlutamatergic Neurons MAPT N279K/WT}, {label=Poster, value=poster}], media_contact=null, listing_button_label=View}, {hs_name=Rapid and consistent generation of functional microglia from reprogrammed hiPSCs to study neurodegeneration and neuroinflammation, hs_id=161961134491, hs_path=poster-rapid_and_consistent_generation_of_functional_ipsc_derived_microglia, button_label=View poster, button_link=https://14527135.fs1.hubspotusercontent-na1.net/hubfs/14527135/Website%20content/Product%20pages/ioMicroglia/bitbio-ioMicroglia_poster-V7-press_SfN%202022.pdf, type={label=Poster, value=Poster}, thumbnail={alt_text=, width=1504, url=https://14527135.fs1.hubspotusercontent-na1.net/hubfs/14527135/Emails/Header%20images/Header%20Images%20-%20ICC%20only/Microglia%20blog%20email%20header%20format.png, height=850}, year={label=2022, value=2022}, summary=<p>Raman, et al</p> <p>bit.bio</p> <p>2022</p>, date_published=1709251200000, sort_date=1669680000000, tags=[{label=ioGlutamatergic Neurons, value=ioGlutamatergic Neurons}, {label=ioMicroglia, value=ioMicroglia}, {label=Poster, value=poster}], media_contact=null, listing_button_label=View}, {hs_name=Generation of 3D skeletal muscle microtissues using ioSkeletal Myocytes, hs_id=161961134493, hs_path=generation-of-3d-skeletal-muscle-microtissues-using-ioskeletal-myocytes, button_label=View poster, button_link=https://14527135.fs1.hubspotusercontent-na1.net/hubfs/14527135/Product%20collateral/Posters/Stimulating%203D%20Skeletal%20Muscle%20Microtissues%20in%20Perfusable%20Microphysiological%20System_Biond_Poster_MPS_Berlin_Jun23.pdf, type={label=Poster, value=Poster}, thumbnail={alt_text=, width=1932, url=https://14527135.fs1.hubspotusercontent-na1.net/hubfs/14527135/horizontal_ioSkeletal-Myocytes-Muscle-Bundle-Biond-ICC-SAA-Actin%20(1)-1%20(1).png, height=1440}, year={label=2023, value=2023}, summary=<p>Dr Mitchell Han</p> <p>Bi/ond</p> <p>2023</p>, date_published=1710028800000, sort_date=1693267200000, tags=[{label=ioSkeletal Myocytes, value=ioSkeletal Myocytes}, {label=ioSkeletal Myocytes DMD44, value=ioSkeletal Myocytes DMD44}, {label=ioSkeletal Myocytes DMD52, value=ioSkeletal Myocytes DMD52}, {label=Poster, value=poster}], media_contact=null, listing_button_label=View }, {hs_name=Consistent and rapid generation of functional motor neurons from reprogrammed human iPSCs using opti-ox technology, hs_id=161961134494, hs_path=iomotor-neurons-sfn-2023-poster, button_label=null, button_link=null, type={label=Poster, value=Poster}, thumbnail={alt_text=, width=2164, url=https://14527135.fs1.hubspotusercontent-na1.net/hubfs/14527135/Website%20content/Product%20pages/ioMotor%20Neurons/iomotor_neuron_HERO_ICC_top_CROP2_COMPRESS.png, height=2841}, year={label=2023, value=2023}, summary=<p>Vaquero, et al</p> <p>bit.bio</p> <p>2023</p>, date_published=1710547200000, sort_date=1701820800000, tags=[{label=ioMotor Neurons, value=ioMotor Neurons}, {label=Poster, value=poster}], media_contact=<p><span>Vaquero, et al</span></p> <p><span>bit.bio</span></p> <p><span>2023</span></p>, listing_button_label=Download}, {hs_name=Generation and characterisation of a panel of human iPSC-derived neurons and microglia carrying early and late onset relevant mutations for Alzheimer’s disease, hs_id=161961134495, hs_path=slas2024-ad-poster, button_label=null, button_link=null, type={label=Poster, value=Poster}, thumbnail={alt_text=, width=1800, url=https://14527135.fs1.hubspotusercontent-na1.net/hubfs/14527135/Website%20content/Product%20pages/ioMicroglia/Microglia%20hero%202%20resize%20brighten%20v2%20compress.png, height=1800}, year={label=2024, value=2024}, summary=Smith, et al.&nbsp;<br>bit.bio<br>2024, date_published=1711065600000, sort_date=1708300800000, tags=[{label=ioGlutamatergic Neurons, value=ioGlutamatergic Neurons}, {label=ioMicroglia, value=ioMicroglia}, {label=Poster, value=poster}, {label=ioGABAergic Neurons!, value=iogabaergic_neurons}], media_contact=Smith et al.&nbsp;<br>bit.bio<br>2024, listing_button_label=Download}, {hs_name=Rapid and consistent generation of functional motor neurons from reprogrammed human iPSCs using opti-ox technology, hs_id=164676247845, hs_path=poster-maxwell-2024-iomotor-neurons, button_label=null, button_link=null, type={label=Poster, value=Poster}, thumbnail={alt_text=iomotor_neuron_HERO_ICC_top_CROP2_COMPRESS, width=2164, url=https://14527135.fs1.hubspotusercontent-na1.net/hubfs/14527135/Website%20content/Product%20pages/ioMotor%20Neurons/iomotor_neuron_HERO_ICC_top_CROP2_COMPRESS.png, height=2841}, year={label=2024, value=2024}, summary=Foulser, et al&nbsp;<br>bit.bio<br>2024, date_published=1713312000000, sort_date=1713312000000, tags=[{label=ioMotor Neurons, value=ioMotor Neurons}], media_contact=Foulser, et al&nbsp;<br>bit.bio<br>2024, listing_button_label=Download}, {hs_name=CRISPR knockout screening for drug target identification and validation using CRISPR-Ready ioMicroglia, hs_id=168100039534, hs_path=slas-2024-crisprready-iomicroglia, button_label=null, button_link=null, type={label=Poster, value=Poster}, thumbnail={alt_text=bitbio-ioMicroglia_knockout-email_header-600x339, width=601, url=https://14527135.fs1.hubspotusercontent-na1.net/hubfs/14527135/Emails/Header%20images/Header%20Images%20-%20graphically%20designed/bitbio-ioMicroglia_knockout-email_header-600x339.png, height=340}, year={label=2024, value=2024}, summary=Schmidt, et al<br>bit.bio<br>2024, date_published=1716336000000, sort_date=1716336000000, tags=[{label=ioMicroglia, value=ioMicroglia}, {label=CRISPR-Ready ioCells, value=CRISPR-Ready ioCells}, {label=CRISPR-Ready ioMicroglia, value=CRISPR-Ready ioMicroglia}, {label=Poster, value=poster}], media_contact=<p>Schmidt et al</p> <p>bit.bio<br>2024</p>, listing_button_label=Download}, {hs_name=Human iPSC-derived DMD skeletal myocytes for 3D functional studies and dystrophin restoration, hs_id=173835555607, hs_path=isscr2024-skeletal-myocytes-dmd-3d-function-dystrophin-restoration, button_label=null, button_link=14527135.fs1.hubspotusercontent-na1.net, type={label=Poster, value=Poster}, thumbnail={alt_text=ISSCR24-DMD-Exon44-3D-muscle-bundle (1), width=2953, url=https://14527135.fs1.hubspotusercontent-na1.net/hubfs/14527135/ISSCR24-DMD-Exon44-3D-muscle-bundle%20(1).png, height=1969}, year={label=2024, value=2024}, summary=<p>Bernard, et al</p> <p>bit.bio</p> <p>2024</p>, date_published=1721692800000, sort_date=1721692800000, tags=[{label=ioSkeletal Myocytes, value=ioSkeletal Myocytes}, {label=ioSkeletal Myocytes DMD44, value=ioSkeletal Myocytes DMD44}, {label=ioSkeletal Myocytes DMD52, value=ioSkeletal Myocytes DMD52}, {label=Poster, value=poster}], media_contact=<p>Bernard et al,</p> <p>bit.bio</p> <p>2024</p>, listing_button_label=Download}, {hs_name=Advancing drug discovery: leveraging CRISPR-Ready ioMicroglia for functional genomics studies, hs_id=174732840704, hs_path=crispr-ready-iomicroglia-isscr2024, button_label=View poster, button_link=https://14527135.fs1.hubspotusercontent-na1.net/hubfs/14527135/Website%20content/Resources/CR-ioMicroglia_poster_ISSCR_2024_final.pdf, type={label=Poster, value=Poster}, thumbnail={alt_text=bitbio-ioMicroglia_knockout-email_header-600x339, width=601, url=https://14527135.fs1.hubspotusercontent-na1.net/hubfs/14527135/Emails/Header%20images/Header%20Images%20-%20graphically%20designed/bitbio-ioMicroglia_knockout-email_header-600x339.png, height=340}, year={label=2024, value=2024}, summary=Schmidt et al.,<br>bit.bio<br>2024, date_published=1722556800000, sort_date=1722556800000, tags=[{label=CRISPR-Ready ioMicroglia, value=CRISPR-Ready ioMicroglia}, {label=Poster, value=poster}], media_contact=Schmidt et al.,<br>bit.bio<br>2024, listing_button_label=Download}, {hs_name=Cellular reprogramming to enable the precise and scalable manufacturing of human cells for therapeutic applications, hs_id=161968263474, hs_path=cellular-reprogramming-to-enable-the-precise-and-scalable-manufacturing-of-human-cells-for-therapeutic-applications, button_label=Explore ioCells, button_link=https://www.bit.bio/discover-iocells, type={label=Talk, value=Talk}, thumbnail={alt_text=, width=1318, url=https://14527135.fs1.hubspotusercontent-na1.net/hubfs/14527135/BitBio2022/Resources%20listing/hubdb-thumbs/resources/Cellular%20reprogramming%20to%20enable%20the%20precise%20and%20scalable%20manufacturing%20of%20human%20cells-min.png, height=1000}, year={label=2021, value=2021}, summary=<p>Dr Alex Davenport | Senior Scientist&nbsp;| bit.bio</p> <p>Talk at ELRIG Cell &amp; Gene Therapy</p> <p>2021</p>, date_published=1705449600000, sort_date=1636588800000, tags=[{label=Cell therapy, value=Cell therapy}, {label=ioOligodendrocyte-like cells, value=ioOligodendrocyte-like cells}, {label=Talk, value=talk}], media_contact=null, listing_button_label=Watch now}, {hs_name=CRISPR and the Art of Perturbation Screening: Unbiased functional genomic screening meets the best human cellular models, hs_id=161968263475, hs_path=crispr-and-the-art-of-perturbation-screening-unbiased-functional-genomic-screening-meets-the-best-human-cellular-models, button_label=Explore ioCRISPR-Ready Cells, button_link=https://www.bit.bio/iocrispr-ready, type={label=Talk, value=Talk}, thumbnail={alt_text=, width=1318, url=https://14527135.fs1.hubspotusercontent-na1.net/hubfs/14527135/BitBio2022/Resources%20listing/hubdb-thumbs/resources/CRISPR%20and%20the%20Art%20of%20Perturbation%20Screening-min.png, height=1000}, year={label=2021, value=2021}, summary=<p>Kam Dhaliwal <span>| </span>SVP Strategic Alliances | bit.bio</p> <p><br>Talk at ELRIG CRISPR in Drug Discovery</p>, date_published=1706140800000, sort_date=1636070400000, tags=[{label=ioGlutamatergic Neurons, value=ioGlutamatergic Neurons}, {label=ioSkeletal Myocytes, value=ioSkeletal Myocytes}, {label=ioGlutamatergic Neurons HTT 50CAG/WT, value=ioGlutamatergic Neurons HTT 50CAG/WT}, {label=ioSensory Neurons, value=ioSensory Neurons}, {label=Talk, value=talk}], media_contact=null, listing_button_label=Watch now}, {hs_name=Consistent and scalable human iPSC-derived cells for in vitro disease modelling and drug discovery, hs_id=161968263476, hs_path=consistent-and-scalable-human-ipsc-derived-cells-for-in-vitro-disease-modelling-and-drug-discovery, button_label=Explore ioCells, button_link=https://www.bit.bio/discover-iocells, type={label=Talk, value=Talk}, thumbnail={alt_text=, width=900, url=https://14527135.fs1.hubspotusercontent-na1.net/hubfs/14527135/DDD_banner_square.jpeg, height=652}, year={label=2020, value=2020}, summary=<p>Kam Dhaliwal <span>|&nbsp;</span> SVP Strategic Alliances | bit.bio<br>Dr Thomas Moreau <span>|</span> Head of Research | bit.bio</p> <p><br>Talk at ELRIG Drug Discovery Digital</p>, date_published=1706400000000, sort_date=1600905600000, tags=[{label=ioGlutamatergic Neurons, value=ioGlutamatergic Neurons}, {label=ioSkeletal Myocytes, value=ioSkeletal Myocytes}, {label=ioGlutamatergic Neurons HTT 50CAG/WT, value=ioGlutamatergic Neurons HTT 50CAG/WT}, {label=Talk, value=talk}], media_contact=null, listing_button_label=Watch now}, {hs_name=Solving the R&D efficiency conundrum within Drug Discovery: Thoughts, Insights and Solutions, hs_id=161968263477, hs_path=solving-the-r-and-d-efficiency-conundrum-within-drug-discovery-thoughts-insights-and-solutions, button_label=Explore our cell identity coding platform, button_link=https://www.bit.bio/platform, type={label=Talk, value=Talk}, thumbnail={alt_text=, width=900, url=https://14527135.fs1.hubspotusercontent-na1.net/hubfs/14527135/DDD_banner_square.jpeg, height=652}, year={label=2020, value=2020}, summary=<p>bit.bio (chair) | &nbsp;AstraZeneca | PhoreMost Ltd | Aelian Biotechnology GmbH | Charles River</p> <p>&nbsp;</p> <p>Panel discussion at ELRIG Drug Discovery Digital</p>, date_published=1706486400000, sort_date=1600128000000, tags=[{label=Talk, value=talk}], media_contact=<p><strong>Panellists</strong></p> <p>Kam Dhaliwal | SVP Alliance Management | bit.bio (chair)</p> <p>Steve Rees | Vice President Discovery Biology | AstraZeneca</p> <p>Benedict Cross | Chief Technology Officer | PhoreMost Ltd</p> <p>Tilmann Buerckstuemmer | Chief Scientific Officer | Aelian Biotechnology GmbH</p> <p>Marijn Vlaming | Head of Biology | Beerse &amp; Leiden | Charles River Laboratories</p> <p>&nbsp;</p> <p><span>bit.bio panel discussion at ELRIG Drug Discovery Digital</span></p> <p><span>2020</span></p>, listing_button_label=Watch now}, {hs_name=Addressing current challenges of in vitro cell models, hs_id=161968263478, hs_path=addressing-current-challenges-of-in-vitro-cell-models, button_label=Explore ioCells, button_link=https://www.bit.bio/discover-iocells, type={label=Talk, value=Talk}, thumbnail={alt_text=, width=1318, url=https://14527135.fs1.hubspotusercontent-na1.net/hubfs/14527135/BitBio2022/Resources/Resource-thumbs/Addressing%20current%20challenges%20of%20in%20vitro%20cell%20models-min.png, height=1000}, year={label=2021, value=2021}, summary=<p><span>Kings College London &amp; bit.bio</span></p> <p><span>Panel discussion at Oxford Global Discovery UK</span></p>, date_published=1707350400000, sort_date=1633996800000, tags=[{label=Talk, value=talk}], media_contact=<p><strong>Panellists</strong></p> <p>Dr Davide Danovi | Senior Lecturer | King’s College London and Director | Cellular Phenotyping | bit.bio</p> <p><span></span><span>Dr Deepak Srivastava | Professor of Molecular Neuroscience and Group Leader, MRC Centre for Developmental Disorders | King’s College London and Director | Wohl Cellular Imaging Centre</span><br><span></span></p> <p><span>Dr Ivo Lieberam, Senior Lecturer | Centre for Stem Cells and Regenerative Medicine | King’s College London</span></p> <p><span>2021</span></p>, listing_button_label=Watch now}, {hs_name=Precision Cellular Reprogramming for Scalable and Consistent Human Neurodegenerative Disease Models, hs_id=161968263479, hs_path=precision-cellular-reprogramming-for-scalable-and-consistent-human-neurodegenerative-disease-models, button_label=Explore ioDisease Model Cells, button_link=https://www.bit.bio/iodisease-models, type={label=Talk, value=Talk}, thumbnail={alt_text=, width=1860, url=https://14527135.fs1.hubspotusercontent-na1.net/hubfs/14527135/Website%20content/Resources/Tech%20Nets%20online%20symposium%20header%20(1).png, height=1260}, year={label=2023, value=2023}, summary=<p>Madeleine Garrett | Field Application Specialist | bit.bio</p>, date_published=1709078400000, sort_date=1681344000000, tags=[{label=ioGlutamatergic Neurons, value=ioGlutamatergic Neurons}, {label=ioGlutamatergic Neurons HTT 50CAG/WT, value=ioGlutamatergic Neurons HTT 50CAG/WT}, {label=ioMicroglia, value=ioMicroglia}, {label=ioGlutamatergic Neurons TDP-43 M337V Het, value=ioGlutamatergic Neurons TDP-43 M337V Het}, {label=ioGlutamatergic Neurons TDP-43 M337V Hom, value=ioGlutamatergic Neurons TDP-43 M337V Hom}, {label=ioGlutamatergic Neurons MAPT P301S/WT, value=ioGlutamatergic Neurons MAPT P301S/WT}, {label=ioGlutamatergic Neurons MAPT P301S/P301S, value=ioGlutamatergic Neurons MAPT P301S/P301S}, {label=ioGlutamatergic Neurons MAPT N279K/WT, value=ioGlutamatergic Neurons MAPT N279K/WT}, {label=ioOligodendrocyte-like cells, value=ioOligodendrocyte-like cells}, {label=ioMotor Neurons, value=ioMotor Neurons}, {label=Talk, value=talk}], media_contact=null, listing_button_label=Watch now}, {hs_name=Industrialising Cellular Reprogramming: Leveraging opti-ox Technology to Manufacture Human Cells with Unprecedented Consistency, hs_id=161968263480, hs_path=industrialising-cellular-reprogramming-leveraging-opti-ox-technology-to-manufacture-human-cells-with-unprecedented-consistency, button_label=null, button_link=null, type={label=Talk, value=Talk}, thumbnail={alt_text=, width=1024, url=https://14527135.fs1.hubspotusercontent-na1.net/hubfs/14527135/Website%20content/Resources/Resources/video/Squarespace+Thumbnail+Template+-+AM23-01-01-01.png, height=768}, year={label=2023, value=2023}, summary=<p>Innovation showcase talk at ISSCR</p> <p>Marius Wernig MD, PhD | Stanford&nbsp;</p> <p>Mark Kotter, MD, PhD | bit.bio</p>, date_published=1709683200000, sort_date=1688083200000, tags=[{label=ioGlutamatergic Neurons, value=ioGlutamatergic Neurons}, {label=ioSensory Neurons, value=ioSensory Neurons}, {label=CRISPR-Ready ioCells, value=CRISPR-Ready ioCells}, {label=Talk, value=talk}, {label=ioGABAergic Neurons!, value=iogabaergic_neurons}], media_contact=<p>V1<br><br>2023<br><br>ISSCR 2023</p>, listing_button_label=Watch now}, {hs_name=Ameliorating cellular stress in neurodegeneration, hs_id=196677312336, hs_path=ameliorating-cellular-stress-in-neurodegeneration, button_label=null, button_link=null, type={label=Talk, value=Talk}, thumbnail={alt_text=Emmanouil Metzakopian - HCF, width=2000, url=https://14527135.fs1.hubspotusercontent-na1.net/hubfs/14527135/user%20exchange/Emmanouil%20Metzakopian%20-%20HCF.png, height=1461}, year={label=2025, value=2025}, summary=<p>Dr Emmanouil Metzakopian | Visiting researcher | University of Cambridge</p> <p>&nbsp;</p> <p>Human Cell Forum 2025<br>Session 1 Track 1 | Modelling neurodegeneration in vitro with human&nbsp; iPSC-derived cells</p>, date_published=1758844800000, sort_date=1758844800000, tags=[{label=CRISPR-Ready ioCells, value=CRISPR-Ready ioCells}], media_contact=null, listing_button_label=Watch now}, {hs_name=In Vitro Approaches to Neurodegeneration: Characterisation of ioGlutamatergic Neurons as PD models, hs_id=196675737428, hs_path=in-vitro-approaches-to-neurodegeneration-characterisation-of-ioglutamatergic-neurons-as-pd-models, button_label=null, button_link=null, type={label=Talk, value=Talk}, thumbnail={alt_text=Irantzu Perez Ruis - HCF, width=2000, url=https://14527135.fs1.hubspotusercontent-na1.net/hubfs/14527135/user%20exchange/Irantzu%20Perez%20Ruis%20-%20HCF.png, height=1461}, year={label=2025, value=2025}, summary=<p>Dr Irantzu Perez Ruiz | Study Director | Scantox Neuro</p> <p>&nbsp;</p> <p>Human Cell Forum 2025<br>Session 1 Track 1 | Modelling neurodegeneration&nbsp;in vitro with human iPSC-derived cells</p>, date_published=1758844800000, sort_date=1758844800000, tags=[{label=ioGlutamatergic Neurons, value=ioGlutamatergic Neurons}], media_contact=null, listing_button_label=Watch now}, {hs_name=Characterising disease relevant signatures in iPSC-derived motor neurons to test the therapeutic potential of homeoprotein EN1, hs_id=196675737700, hs_path=characterising-disease-relevant-signatures-in-ipsc-derived-motor-neurons-to-test-the-therapeutic-potential-of-homeoprotein-en1, button_label=null, button_link=null, type={label=Talk, value=Talk}, thumbnail={alt_text=Elizabeth di Lullo - HCF, width=2000, url=https://14527135.fs1.hubspotusercontent-na1.net/hubfs/14527135/user%20exchange/Elizabeth%20di%20Lullo%20-%20HCF.png, height=1461}, year={label=2025, value=2025}, summary=<p>Dr Elizabeth Di Lullo | Associate Scientific Director | BrainEver<br><br>Human Cell Forum 2025<br>Session 1 Track 1 | Modelling neurodegeneration in vitro with human iPSC-derived cells</p>, date_published=1758844800000, sort_date=1758844800000, tags=[{label=ioGlutamatergic Neurons TDP-43 M337V Het, value=ioGlutamatergic Neurons TDP-43 M337V Het}, {label=ioGlutamatergic Neurons TDP-43 M337V Hom, value=ioGlutamatergic Neurons TDP-43 M337V Hom}, {label=ioMotor Neurons, value=ioMotor Neurons}], media_contact=null, listing_button_label=Watch now}, {hs_name=Using ioSensory Neurons to model pain in osteoarthritis, hs_id=196779610809, hs_path=using-iosensory-neurons-to-model-pain-in-osteoarthritis, button_label=null, button_link=null, type={label=Talk, value=Talk}, thumbnail={alt_text=Ryan Jones - HCF, width=2000, url=https://14527135.fs1.hubspotusercontent-na1.net/hubfs/14527135/user%20exchange/Ryan%20Jones%20-%20HCF.png, height=1461}, year={label=2025, value=2025}, summary=<p>Dr Ryan Jones | Research Associate | Cardiff University</p> <p><br>Human Cell Forum 2025<br>Session 1 Track 2 | From cells to systems: Building human iPSC-derived models of pain, neuromuscular&nbsp;junctions, and glial dynamics</p>, date_published=1758844800000, sort_date=1758844800000, tags=[{label=ioSensory Neurons, value=ioSensory Neurons}], media_contact=null, listing_button_label=Watch now}, {hs_name=Astrocytic calcium imaging – from mouse to human systems, hs_id=196778374688, hs_path=astrocytic-calcium-imaging-from-mouse-to-human-systems, button_label=null, button_link=null, type={label=Talk, value=Talk}, thumbnail={alt_text=Jeremey Krohn - HCF, width=2000, url=https://14527135.fs1.hubspotusercontent-na1.net/hubfs/14527135/user%20exchange/Jeremey%20Krohn%20-%20HCF.png, height=1461}, year={label=2025, value=2025}, summary=<p>Jeremy Krohn | PhD Candidate | DZNE / Charité University of Medicine</p> <p>&nbsp;</p> <p>Human Cell Forum 2025<br>Session 1 Track 2 | From cells to systems: Building human iPSC-derived models of pain, neuromuscular&nbsp;junctions, and glial dynamics</p>, date_published=1758844800000, sort_date=1758844800000, tags=null, media_contact=null, listing_button_label=Watch now}, {hs_name=Using human iPSC-derived ioSkeletal Myocytes and ioMotor Neurons to model complex neuromuscular systems in vitro, hs_id=196778374692, hs_path=using-human-ipsc-derived-ioskeletal-myocytes-and-iomotor-neurons-to-model-complex-neuromuscular-systems-in-vitro, button_label=null, button_link=null, type={label=Talk, value=Talk}, thumbnail={alt_text=Grace Cooper - HCF , width=2000, url=https://14527135.fs1.hubspotusercontent-na1.net/hubfs/14527135/user%20exchange/Grace%20Cooper%20-%20HCF%20.png, height=1461}, year={label=2025, value=2025}, summary=<p>Dr Grace Cooper | Senior Scientist | bit.bio</p> <p>&nbsp;</p> <p>Human Cell Forum 2025<br>Session 1 Track 2 | From cells to systems: Building human iPSC-derived models of pain, neuromuscular&nbsp;junctions, and glial dynamics</p>, date_published=1758844800000, sort_date=1758844800000, tags=[{label=ioSkeletal Myocytes, value=ioSkeletal Myocytes}, {label=ioMotor Neurons, value=ioMotor Neurons}], media_contact=null, listing_button_label=Watch now}, {hs_name=Unlocking success with ioCells: Overcoming challenges and maximising outcomes, hs_id=196778374699, hs_path=unlocking-success-with-iocells-overcoming-challenges-and-maximising-outcomes, button_label=null, button_link=null, type={label=Talk, value=Talk}, thumbnail={alt_text=Luke - HCF, width=2000, url=https://14527135.fs1.hubspotusercontent-na1.net/hubfs/14527135/user%20exchange/Luke%20-%20HCF.png, height=1461}, year={label=2025, value=2025}, summary=<p>Luke Foulser | Field Applications Scientist | bit.bio</p> <p>&nbsp;</p> <p>Human Cell Forum 2025<br>Session 2 | bit.bio insider: Tools, tips, and what’s coming next</p>, date_published=1758844800000, sort_date=1758844800000, tags=null, media_contact=null, listing_button_label=Watch now}, {hs_name=Comparing human iPSC-derived ioMicroglia to immortalised HMC3 cell line: A case study, hs_id=196778374701, hs_path=comparing-human-ipsc-derived-iomicroglia-to-immortalised-hmc3-cell-line-a-case-study, button_label=null, button_link=null, type={label=Talk, value=Talk}, thumbnail={alt_text=Euan Yates - HCF, width=2000, url=https://14527135.fs1.hubspotusercontent-na1.net/hubfs/14527135/user%20exchange/Euan%20Yates%20-%20HCF.png, height=1461}, year={label=2025, value=2025}, summary=<p>Euan Yates | Scientist | bit.bio</p> <p>&nbsp;</p> <p>Human Cell Forum 2025<br>Session 2 | bit.bio insider: Tools, tips, and what’s coming next</p>, date_published=1758844800000, sort_date=1758844800000, tags=[{label=ioMicroglia, value=ioMicroglia}], media_contact=null, listing_button_label=Watch now}, {hs_name=Development of human iPSC-derived hepatocytes for drug discovery, translational research and toxicity testing , hs_id=196779610893, hs_path=development-of-human-ipsc-derived-hepatocytes-for-drug-discovery-translational-research-and-toxicity-testing, button_label=null, button_link=null, type={label=Talk, value=Talk}, thumbnail={alt_text=Gianmarco - HCF, width=2000, url=https://14527135.fs1.hubspotusercontent-na1.net/hubfs/14527135/user%20exchange/Gianmarco%20-%20HCF.png, height=1461}, year={label=2025, value=2025}, summary=<p>Dr Gianmarco Mastrogiovanni | Principal Scientist - Cell Type Development | bit.bio</p> <p>&nbsp;</p> <p>Human Cell Forum 2025<br>Session 2 | bit.bio insider: Tools, tips, and what’s coming next</p>, date_published=1758844800000, sort_date=1758844800000, tags=null, media_contact=null, listing_button_label=Watch now}, {hs_name=CRISPR meets opti-ox™ - Harnessing CRISPR-Ready ioCells for drug discovery in neurodegenerative diseases, hs_id=196779610894, hs_path=crispr-meets-opti-ox-harnessing-crispr-ready-iocells-for-drug-discovery-in-neurodegenerative-diseases, button_label=null, button_link=null, type={label=Talk, value=Talk}, thumbnail={alt_text=Sejla - HCF, width=2000, url=https://14527135.fs1.hubspotusercontent-na1.net/hubfs/14527135/user%20exchange/Sejla%20-%20HCF.png, height=1461}, year={label=2025, value=2025}, summary=<p>Sejla Salic-Hainzl | Vice President of R&amp;D | bit.bio discovery</p> <p>&nbsp;</p> <p>Human Cell Forum 2025<br>Session 2 | bit.bio insider: Tools, tips, and what’s coming next<br><br></p>, date_published=1758844800000, sort_date=1758844800000, tags=[{label=CRISPR-Ready ioCells, value=CRISPR-Ready ioCells}], media_contact=null, listing_button_label=Watch now}, {hs_name=rAAV meets ioNeurons: Pioneering the future of translational neurotherapies, hs_id=196779610928, hs_path=raav-meets-ioneurons-pioneering-the-future-of-translational-neurotherapies, button_label=null, button_link=null, type={label=Talk, value=Talk}, thumbnail={alt_text=Martina - HCF, width=2000, url=https://14527135.fs1.hubspotusercontent-na1.net/hubfs/14527135/user%20exchange/Martina%20-%20HCF.png, height=1461}, year={label=2025, value=2025}, summary=<p>Dr Martina Esposito Soccoio | Senior Research Associate | AviadoBio</p> <p>&nbsp;</p> <p>Human Cell Forum 2025<br>Session 3 | Making complex human biology compatible with modern drug discovery workflows</p>, date_published=1758844800000, sort_date=1758844800000, tags=[{label=ioGlutamatergic Neurons, value=ioGlutamatergic Neurons}], media_contact=null, listing_button_label=Watch now}, {hs_name=Toward clinical trial in a dish: harnessing iPSC models in drug discovery, hs_id=196779611226, hs_path=toward-clinical-trial-in-a-dish-harnessing-ipsc-models-in-drug-discovery, button_label=null, button_link=null, type={label=Talk, value=Talk}, thumbnail={alt_text=Sara Martin - HCF, width=2000, url=https://14527135.fs1.hubspotusercontent-na1.net/hubfs/14527135/user%20exchange/Sara%20Martin%20-%20HCF.png, height=1461}, year={label=2025, value=2025}, summary=<p>Dr Sara Martin | Scientist | Axxam</p> <p>&nbsp;</p> <p>Human Cell Forum 2025&nbsp;<br>Session 3 | Making complex human biology compatible with modern drug discovery workflows</p>, date_published=1758844800000, sort_date=1758844800000, tags=[{label=ioSkeletal Myocytes, value=ioSkeletal Myocytes}], media_contact=null, listing_button_label=Watch now}, {hs_name=Targeting Neurodegeneration: An AI-guided Visual Biology Approach to discover drug targets for neurodegenerative disease, hs_id=196778374729, hs_path=targeting-neurodegeneration-an-ai-guided-visual-biology-approach-to-discover-drug-targets-for-neurodegenerative-disease, button_label=null, button_link=null, type={label=Talk, value=Talk}, thumbnail={alt_text=Ben Bar Sadeh - HCF, width=2000, url=https://14527135.fs1.hubspotusercontent-na1.net/hubfs/14527135/user%20exchange/Ben%20Bar%20Sadeh%20-%20HCF.png, height=1461}, year={label=2025, value=2025}, summary=<p>Dr Ben Bar-Sadeh | Senior Scientist | Anima Biotech</p> <p>&nbsp;</p> <p>Human Cell Forum 2025&nbsp;<br>Session 3 | Making complex human biology compatible with modern drug discovery workflows</p>, date_published=1758844800000, sort_date=1758844800000, tags=[{label=ioMotor Neurons, value=ioMotor Neurons}], media_contact=null, listing_button_label=Watch now}, {hs_name=Partnering with Charles River to advance CNS drug discovery with ioGlutamatergic Neurons, hs_id=161968263497, hs_path=in-conversation-with-charles-river-video-part-2, button_label=null, button_link=null, type={label=Video, value=Video}, thumbnail={alt_text=, width=687, url=https://14527135.fs1.hubspotusercontent-na1.net/hubfs/14527135/CRL%20video%20posts/crl%202%20webpage%20image-2.png, height=476}, year={label=2021, value=2021}, summary=<p>Dr Marijn Vlaming | Head of Biology, et al.</p> <p>Charles River &amp; bit.bio</p>, date_published=1705017600000, sort_date=1637107200000, tags=[{label=ioGlutamatergic Neurons, value=ioGlutamatergic Neurons}, {label=ioGlutamatergic Neurons TDP-43 M337V Het, value=ioGlutamatergic Neurons TDP-43 M337V Het}, {label=ioGlutamatergic Neurons TDP-43 M337V Hom, value=ioGlutamatergic Neurons TDP-43 M337V Hom}, {label=Video, value=video}], media_contact=null, listing_button_label=Watch }, {hs_name=In Conversation with Charles River, hs_id=161968263498, hs_path=in-conversation-with-charles-river-video, button_label=Discover our ioCells portfolio, button_link=/discover-iocells, type={label=Video, value=Video}, thumbnail={alt_text=, width=834, url=https://14527135.fs1.hubspotusercontent-na1.net/hubfs/14527135/CRL%20video%20posts/CRL%20video%20%231%20card%20for%20webpage%20(thinner%20gradient%20line)-1.png, height=590}, year={label=2021, value=2021}, summary=<p>Dr Marijn Vlaming <span>|</span> Head of Biology<br>Charles River</p>, date_published=1705363200000, sort_date=1636675200000, tags=[{label=ioGlutamatergic Neurons, value=ioGlutamatergic Neurons}, {label=Video, value=video}], media_contact=null, listing_button_label=Watch}, {hs_name=Accelerating in vitro target and drug discovery using reprogrammed glutamatergic neurons, hs_id=161968263499, hs_path=dr-shushant-jain-video-2020, button_label=null, button_link=null, type={label=Video, value=Video}, thumbnail={alt_text=, width=1318, url=https://14527135.fs1.hubspotusercontent-na1.net/hubfs/14527135/BitBio2022/Resources/Resource-thumbs/Accelerating%20in%20vitro%20target%20and%20drug%20discovery%20using%20reprogrammed%20glutamatergic%20neurons-min.png, height=1000}, year={label=2020, value=2020}, summary=<p>Dr Shushant Jain <span>|</span> Group Leader In Vitro Biology | Charles River</p> <p>Interview at SLAS</p>, date_published=1706832000000, sort_date=1595635200000, tags=[{label=ioSensory Neurons, value=ioSensory Neurons}, {label=Video, value=video}], media_contact=null, listing_button_label=Watch}, {hs_name=Introducing ioSkeletal Myocytes | Developing the next generation of human muscle cells, hs_id=161968263500, hs_path=introducing-ioskeletal-myocytes, button_label=null, button_link=null, type={label=Video, value=Video}, thumbnail={alt_text=, width=1318, url=https://14527135.fs1.hubspotusercontent-na1.net/hubfs/14527135/BitBio2022/product-page/Introducing%20ioSkeletal%20Myocytes-min-comp.jpg, height=1000}, year={label=2022, value=2022}, summary=<p><span>Dr Will Bernard | Director of Cell Type Development | </span><span>bit.bio</span></p>, date_published=1707264000000, sort_date=1643068800000, tags=[{label=ioSkeletal Myocytes, value=ioSkeletal Myocytes}, {label=Product information, value=Product information}, {label=ioSkeletal Myocytes DMD44, value=ioSkeletal Myocytes DMD44}, {label=ioSkeletal Myocytes DMD52, value=ioSkeletal Myocytes DMD52}, {label=Video, value=video}], media_contact=null, listing_button_label=Watch}, {hs_name=Introducing ioGlutamatergic Neurons HTT 50CAG/WT | A next-generation approach to study Huntington's disease, hs_id=161968263501, hs_path=introducing-ioioglutamatergic-neurons-htt-50cagwt, button_label=null, button_link=null, type={label=Video, value=Video}, thumbnail={alt_text=, width=666, url=https://14527135.fs1.hubspotusercontent-na1.net/hubfs/14527135/BitBio2022/Resources/Resource-thumbs/resized/New%20Project%20(6).jpeg, height=427}, year={label=2022, value=2022}, summary=<p><span>bit.bio</span></p>, date_published=1707696000000, sort_date=1658188800000, tags=[{label=ioGlutamatergic Neurons HTT 50CAG/WT, value=ioGlutamatergic Neurons HTT 50CAG/WT}, {label=Video, value=video}], media_contact=null, listing_button_label=Watch}, {hs_name=opti-ox by bit.bio, hs_id=161968263502, hs_path=opti-ox-by-bitbio, button_label=null, button_link=null, type={label=Video, value=Video}, thumbnail={alt_text=, width=1596, url=https://14527135.fs1.hubspotusercontent-na1.net/hubfs/14527135/Emails/Cell-fie/opti-ox%20for%20Cell-fie.png, height=1068}, year={label=2023, value=2023}, summary=<p>V2</p> <p>bit.bio</p> <p>2023</p>, date_published=1709942400000, sort_date=1691452800000, tags=[{label=Video, value=video}], media_contact=null, listing_button_label=Watch}, {hs_name=SynBio + Pharma: Revolutionizing the Future of Medicine Main Stage at SynBioBeta 2023, hs_id=165150607234, hs_path=synbiobeta-2023, button_label=null, button_link=null, type={label=Video, value=Video}, thumbnail={alt_text=Screenshot 2024-04-22 at 11.45.43, width=3002, url=https://14527135.fs1.hubspotusercontent-na1.net/hubfs/14527135/Comms/Screenshot%202024-04-22%20at%2011.45.43.png, height=1460}, year={label=2023, value=2023}, summary=SynBioBeta 2023 Main stage, date_published=1713744000000, sort_date=1713744000000, tags=[{label=Video, value=video}], media_contact=null, listing_button_label=Watch}, {hs_name=MaxWell Summit 2024 Poster Presentation with Luke Foulser ioMotor Neurons, hs_id=165873178459, hs_path=presentation-at-maxwell-summit-2024, button_label=null, button_link=null, type={label=Video, value=Video}, thumbnail={alt_text=Luke pointing at ioMotor Neurons poster at MaxWell Summit 2024_cropped, width=2152, url=https://14527135.fs1.hubspotusercontent-na1.net/hubfs/14527135/Emails/Newsletter/Luke%20pointing%20at%20ioMotor%20Neurons%20poster%20at%20MaxWell%20Summit%202024_cropped.png, height=1211}, year={label=2024, value=2024}, summary=<p>Luke Foulser | Scientist | bit.bio</p>, date_published=1714435200000, sort_date=1714435200000, tags=[{label=ioMotor Neurons, value=ioMotor Neurons}, {label=Video, value=video}], media_contact=null, listing_button_label=Watch }, {hs_name=Advances in cellular reprogramming: from stem cells to printed tissues, hs_id=161968263517, hs_path=advances-in-cellular-reprogramming-from-stem-cells-to-printed-tissues, button_label=Explore ioCells, button_link=https://www.bit.bio/discover-iocells, type={label=Webinar, value=Webinar}, thumbnail={alt_text=, width=666, url=https://14527135.fs1.hubspotusercontent-na1.net/hubfs/14527135/BitBio2022/Resources/Resource-thumbs/resized/New%20Project%20(13).jpeg, height=428}, year={label=2020, value=2020}, summary=<p>Prof Hagan Bayley <span>|</span> University of Oxford<br>Dr Mark Kotter <span>|</span> Founder and CEO | bit.bio<br><br></p>, date_published=1706918400000, sort_date=1594857600000, tags=[{label=ioSkeletal Myocytes, value=ioSkeletal Myocytes}, {label=Webinars , value=webinars}, {label=Webinar | Advances in cellular reprogramming, value=webinar_|_advances_in_cellular_reprogramming}], media_contact=null, listing_button_label=Watch now}, {hs_name=Research in Motion with ioSkeletal Myocytes, hs_id=161968263518, hs_path=introducing-human-ipsc-derived-muscle-cells-for-research-and-drug-discovery, button_label=Watch webinar, button_link=https://www.youtube.com/watch?v=TBMR5YNucoMvingin, type={label=Webinar, value=Webinar}, thumbnail={alt_text=, width=738, url=https://14527135.fs1.hubspotusercontent-na1.net/hubfs/14527135/BitBio2022/product-page/ioSkeletal-Myocytes-DDW-ICC-staining-header-image-comp.jpg, height=334}, year={label=2020, value=2020}, summary=<p>Dr Luke Flatt | Senior Scientist | Charles River Laboratories</p> <p>Dr Will Bernard | Senior Scientist | bit.bio</p> <p><span><br><br><br></span></p>, date_published=1707091200000, sort_date=1641340800000, tags=[{label=ioSkeletal Myocytes, value=ioSkeletal Myocytes}, {label=ioSkeletal Myocytes DMD44, value=ioSkeletal Myocytes DMD44}, {label=ioSkeletal Myocytes DMD52, value=ioSkeletal Myocytes DMD52}, {label=Webinars , value=webinars}, {label=Webinar | Research in Motion , value=webinar_|_research_in_motion}], media_contact=null, listing_button_label=Watch now}, {hs_name=Modelling neurodevelopment | Investigating the impact of maternal immune activation on neurodevelopment using human iPSC-derived cells, hs_id=161968263519, hs_path=modelling-neurodevelopment-webinar-2022, button_label=Explore ioGlutamatergic Neurons, button_link=https://www.bit.bio/products/nerve-cells/glutamatergic-neurons-wild-type-io1001, type={label=Webinar, value=Webinar}, thumbnail={alt_text=, width=1200, url=https://14527135.fs1.hubspotusercontent-na1.net/hubfs/14527135/BitBio2022/product-page/Colour%20webinar%20with%2060x%20Map2-com.jpg, height=732}, year={label=2022, value=2022}, summary=<p><span>Dr Deepak Srivastava | King’s College London<br><br></span><span></span></p>, date_published=1707436800000, sort_date=1649376000000, tags=[{label=ioGlutamatergic Neurons, value=ioGlutamatergic Neurons}, {label=Webinars , value=webinars}, {label=Webinar | Modelling neurodevelopment , value=webinar_|_modelling_neurodevelopment}, {label=ioGABAergic Neurons!, value=iogabaergic_neurons}], media_contact=null, listing_button_label=Watch now}, {hs_name=Modelling human neurodegenerative diseases in research & drug discovery, hs_id=161968263520, hs_path=modelling-human-neurodegenerative-diseases-in-research-drug-discovery, button_label=Explore ioDisease Model Cells, button_link=https://www.bit.bio/iodisease-models, type={label=Webinar, value=Webinar}, thumbnail={alt_text=, width=1200, url=https://14527135.fs1.hubspotusercontent-na1.net/hubfs/14527135/BitBio2022/product-page/Colour%20webinar%20with%20it-bio%20ioGlutamatergic%20Neurons_VGLUT2(G)_MAP2(R)_Tubb3(B)_Hoechst(B)_20x_merge-comp.jpg, height=717}, year={label=2022, value=2022}, summary=<p><span>Dr Mariangela Iovino | Group Leader | Charles River</span></p> <p><span>Dr Tony Oosterveen | Senior Scientist | bit.bio</span></p>, date_published=1707523200000, sort_date=1649116800000, tags=[{label=Product information, value=Product information}, {label=ioGlutamatergic Neurons HTT 50CAG/WT, value=ioGlutamatergic Neurons HTT 50CAG/WT}, {label=ioMicroglia, value=ioMicroglia}, {label=ioGlutamatergic Neurons TDP-43 M337V Het, value=ioGlutamatergic Neurons TDP-43 M337V Het}, {label=ioGlutamatergic Neurons TDP-43 M337V Hom, value=ioGlutamatergic Neurons TDP-43 M337V Hom}, {label=ioSensory Neurons, value=ioSensory Neurons}, {label=Webinars , value=webinars}, {label=Webinar | Modelling human neurodegenerative diseases, value=webinar_|_modelling_human_neurodegenerative_diseases}, {label=ioGABAergic Neurons!, value=iogabaergic_neurons}], media_contact=<p>&nbsp;</p> <p>&nbsp;</p>, listing_button_label=Watch now}, {hs_name=Improving Huntington’s disease drug discovery with new reproducible disease models, hs_id=161968263521, hs_path=improving-huntingtons-disease-drug-discovery-with-new-reproducible-disease-models, button_label=Explore our solutions for modelling Huntington's disease , button_link=https://www.bit.bio/modelling-disease/huntingtons-disease, type={label=Webinar, value=Webinar}, thumbnail={alt_text=, width=600, url=https://14527135.fs1.hubspotusercontent-na1.net/hubfs/14527135/BitBio2022/Discover%20ioCells/a-HTT50CAGWT_Overlay__TUBB3(G)_MAP2(R)_DAPI(B)_%20comp.jpg, height=378}, year={label=2022, value=2022}, summary=<p><span>Dr Emma V Jones | Senior Scientist | Medicines Discovery Catapult</span></p> <p><span>Dr Tony Oosterveen | Senior Scientist | bit.bio</span></p>, date_published=1708128000000, sort_date=1656460800000, tags=[{label=ioGlutamatergic Neurons HTT 50CAG/WT, value=ioGlutamatergic Neurons HTT 50CAG/WT}, {label=CRISPR-Ready ioGlutamatergic Neurons, value=CRISPR-Ready ioGlutamatergic Neurons}, {label=Webinars , value=webinars}, {label=Webinar | Improving Huntington’s disease drug discovery, value=webinar_|_improving_huntington’s_disease_drug_discovery}], media_contact=<p>&nbsp;</p> <p>&nbsp;</p>, listing_button_label=Watch now}, {hs_name=Alzheimer’s Disease Pathogenesis: Emerging Role of Microglia, hs_id=161968263522, hs_path=alzheimers-disease-pathogenesis-emerging-role-of-microglia, button_label=null, button_link=null, type={label=Webinar, value=Webinar}, thumbnail={alt_text=, width=1200, url=https://14527135.fs1.hubspotusercontent-na1.net/hubfs/14527135/Emails/Webinar/Bit-bio%20Resources%20-%20ioMicroglia%20GEN%20Webinar.png, height=730}, year={label=2022, value=2022}, summary=<p>Dr Matthias Pawlowski | Head, Dementia-Sensitive Hospital | University of Münster</p> <p><span>Dr Malathi Raman | Senior Product Manager | bit.bio</span></p>, date_published=1708214400000, sort_date=1666569600000, tags=[{label=ioMicroglia, value=ioMicroglia}, {label=ioOligodendrocyte-like cells, value=ioOligodendrocyte-like cells}, {label=Webinars , value=webinars}, {label=Webinar | Alzheimer’s Disease Pathogenesis, value=webinar_|_alzheimer’s_disease_pathogenesis}], media_contact=<p>&nbsp;</p> <p>&nbsp;</p>, listing_button_label=Watch now}, {hs_name=Unlocking the Potential of RNA Therapies in Autism Spectrum Disorder How Definitive Human iPSC-derived Cells are Paving the Way, hs_id=161968263523, hs_path=unlocking-the-potential-of-rna-therapies-in-autism-spectrum-disorder-how-definitive-human-ipsc-derived-cells-are-paving-the-way, button_label=Explore ioGABAergic Neurons, button_link=https://www.bit.bio/products/nerve-cells/gabaergic-neurons-wild-type-io1003, type={label=Webinar, value=Webinar}, thumbnail={alt_text=, width=1860, url=https://14527135.fs1.hubspotusercontent-na1.net/hubfs/14527135/Emails/Header%20images/Header%20Images%20-%20ICC%20only/bit.bio_ioGABAergic%20Neurons_DAPI.Blue-MAP2.Red-VGAT.Violet-GABA.Green_.png, height=1260}, year={label=2023, value=2023}, summary=<p><span>Rodney A. Bowling Jr., Ph.D. | Chief Scientific Officer | &nbsp;Everlum Bio</span></p> <p><span>Malathi Raman Ph.D. | Senior Product Manager | bit.bio</span></p>, date_published=1708992000000, sort_date=1680220800000, tags=[{label=Webinars , value=webinars}, {label=Webinar | Unlocking the Potential of RNA Therapies, value=webinar_|_unlocking_the_potential_of_rna_therapies}], media_contact=<p>&nbsp;</p> <p>&nbsp;</p>, listing_button_label=Watch now}, {hs_name=Rethinking Developmental Biology With Cellular Reprogramming, hs_id=161968263524, hs_path=rethinking-developmental-biology-with-cellular-reprogramming, button_label=Explore ioCells, button_link=https://www.bit.bio/discover-iocells, type={label=Webinar, value=Webinar}, thumbnail={alt_text=, width=1860, url=https://14527135.fs1.hubspotusercontent-na1.net/hubfs/14527135/Website%20content/Upcoming%20Webinars/Tech%20Nets%202023/bit.bio_ioGlutamatergic%20Neurons_20xMAP2(red)Hoescht(blue)_day12v2.png, height=1260}, year={label=2023, value=2023}, summary=<p>Mark Kotter | CEO and founder | bit.bio</p> <p>Marius Wernig | Professor Departments of Pathology and Chemical and Systems Biology |&nbsp; Stanford University</p>, date_published=1709164800000, sort_date=1681776000000, tags=[{label=ioGlutamatergic Neurons, value=ioGlutamatergic Neurons}, {label=ioMicroglia, value=ioMicroglia}, {label=Cell therapy, value=Cell therapy}, {label=ioSensory Neurons, value=ioSensory Neurons}, {label=ioOligodendrocyte-like cells, value=ioOligodendrocyte-like cells}, {label=Webinars , value=webinars}, {label=Webinar | Rethinking Developmental Biology, value=webinar_|_rethinking_developmental_biology}, {label=ioGABAergic Neurons!, value=iogabaergic_neurons}], media_contact=null, listing_button_label=Watch now}, {hs_name=Addressing the Reproducibility Crisis | Driving Genome-Wide Consistency in Cellular Reprogramming, hs_id=161968263525, hs_path=addressing-the-reproducibility-crisis-driving-genome-wide-consistency-in-cellular-reprogramming, button_label=Explore ioCells, button_link=https://www.bit.bio/discover-iocells, type={label=Webinar, value=Webinar}, thumbnail={alt_text=, width=1860, url=https://14527135.fs1.hubspotusercontent-na1.net/hubfs/14527135/Website%20content/Upcoming%20Webinars/Tech%20Nets%2019th%20July%202023/bit.bio_ioGlutamatergic%20Neurons_60xMAP2(red)Hoescht(blue)TUBB3(blue)_day4.jpg, height=1260}, year={label=2023, value=2023}, summary=<p>Dr Ania Wilczynska | Head of Computational Genomics | Non-Clinical | bit.bio</p>, date_published=1709769600000, sort_date=1689724800000, tags=[{label=ioGlutamatergic Neurons, value=ioGlutamatergic Neurons}, {label=ioSensory Neurons, value=ioSensory Neurons}, {label=CRISPR-Ready ioGlutamatergic Neurons, value=CRISPR-Ready ioGlutamatergic Neurons}, {label=Webinars , value=webinars}, {label=Webinar | Addressing the Reproducibility Crisis, value=webinar Addressing the Reproducibility Crisis}], media_contact=null, listing_button_label=Watch now}, {hs_name=Mastering Cell Identity In A Dish: The Power Of Cellular Reprogramming, hs_id=161968263526, hs_path=mastering-cell-identity-in-a-dish-the-power-of-cellular-reprogramming, button_label=null, button_link=null, type={label=Webinar, value=Webinar}, thumbnail={alt_text=, width=3926, url=https://14527135.fs1.hubspotusercontent-na1.net/hubfs/14527135/Website%20content/Upcoming%20Webinars/GEN%2023rd%20June%202023/io1013S-ioGlutamatergic-Neurons-PRKN-R275W-heterozygous-ICC-DAPI-MAP2.jpeg, height=1629}, year={label=2023, value=2023}, summary=<p>Prof Roger Pedersen | Adjunct Professor and Senior Research Scientist at Stanford University&nbsp;</p> <p>Dr Thomas Moreau | Director of Cell Biology Research | bit.bio</p>, date_published=1709856000000, sort_date=1686700800000, tags=[{label=ioMicroglia, value=ioMicroglia}, {label=ioSensory Neurons, value=ioSensory Neurons}, {label=ioMotor Neurons, value=ioMotor Neurons}, {label=Webinars , value=webinars}, {label=Webinar | Mastering Cell Identity, value=webinar_|_mastering_cell_identity}, {label=ioGABAergic Neurons!, value=iogabaergic_neurons}], media_contact=null, listing_button_label=Watch now}, {hs_name=Advancements in 3D modeling: Building mature, functional 3D skeletal muscle microtissues in vitro, hs_id=161968263527, hs_path=advancements-in-3d-modeling-building-mature-functional-3d-skeletal-muscle-microtissues-in-vitro, button_label=null, button_link=null, type={label=Webinar, value=Webinar}, thumbnail={alt_text=, width=1304, url=https://14527135.fs1.hubspotusercontent-na1.net/hubfs/14527135/Website%20content/Product%20pages/ioSkeletal%20Myocytes/bit.bio_ioskeletal%20myocytes%20About%20us.jpg, height=964}, year={label=2023, value=2023}, summary=<p>Dr Marieke Aarts | Principal Scientist | Bi/ond</p> <p>Amanda Turner | Senior Product Manager | bit.bio</p>, date_published=1710201600000, sort_date=1698710400000, tags=[{label=ioSkeletal Myocytes, value=ioSkeletal Myocytes}, {label=ioSkeletal Myocytes DMD44, value=ioSkeletal Myocytes DMD44}, {label=ioSkeletal Myocytes DMD52, value=ioSkeletal Myocytes DMD52}, {label=Webinars , value=webinars}, {label=Webinar | Advancements in 3D modeling, value=webinar_|_advancements_in_3d_modeling}], media_contact=null, listing_button_label=Watch now}, {hs_name=Running Large-Scale CRISPR Screens in Human Neurons, hs_id=161968263528, hs_path=running-large-scale-crispr-screens-in-human-neurons, button_label=null, button_link=null, type={label=Webinar, value=Webinar}, thumbnail={alt_text=, width=1200, url=https://14527135.fs1.hubspotusercontent-na1.net/hubfs/14527135/Emails/Header%20images/Header%20Images%20-%20ICC%20only/Running%20Large-Scale%20CRISPR%20Screens%20in%20Human%20Neurons_email%20header.png, height=678}, year={label=2023, value=2023}, summary=<p>Emmanouil Metzakopian | Vice President, Research and Development | bit.bio</p> <p>Javier Conde-Vancells | Director Product Management | bit.bio</p>, date_published=1710460800000, sort_date=1700524800000, tags=[{label=ioGlutamatergic Neurons, value=ioGlutamatergic Neurons}, {label=CRISPR-Ready ioCells, value=CRISPR-Ready ioCells}, {label=CRISPR-Ready ioGlutamatergic Neurons, value=CRISPR-Ready ioGlutamatergic Neurons}, {label=CRISPR-Ready ioMicroglia, value=CRISPR-Ready ioMicroglia}, {label=Webinars , value=webinars}, {label=Webinar Running Large-Scale CRISPR Screens, value=webinar_running_large-scale_crispr_screens}], media_contact=null, listing_button_label=Watch now}, {hs_name=Empowering motor neuron disease research and drug discovery with a new class of functional, reproducible hiPSC-derived motor neurons, hs_id=161968263529, hs_path=empowering-motor-neuron-disease-research-and-drug-discovery-with-a-new-class-of-functional-reproducible-hipsc-derived-motor-neurons, button_label=null, button_link=null, type={label=Webinar, value=Webinar}, thumbnail={alt_text=, width=2040, url=https://14527135.fs1.hubspotusercontent-na1.net/hubfs/14527135/Website%20content/Upcoming%20Webinars/Select%20Science%20Jan%202024%20-%20Empowering%20MND%20research/ioMotor%20Neuron%20Hero%20image%20for%20Webinar%20(1).png, height=1380}, year={label=2024, value=2024}, summary=<p>Tom Brown | Senior Product Manager | bit.bio</p> Marcos Herrera Vaquero, PhD | Senior Scientist | bit.bio, date_published=1710979200000, sort_date=1707696000000, tags=[{label=ioMotor Neurons, value=ioMotor Neurons}, {label=Webinars , value=webinars}, {label=Webinar | Empowering motor neuron disease, value=webinar_|_empowering_motor_neuron_disease}], media_contact=null, listing_button_label=Watch now}, {hs_name=Uncovering the Glioma Microenvironment With In Vitro Neuronal Models, hs_id=166831992936, hs_path=uncovering-the-glioma-microenvironment-with-in-vitro-neuronal-models, button_label=null, button_link=null, type={label=Webinar, value=Webinar}, thumbnail={alt_text=Hero image V4, width=1200, url=https://14527135.fs1.hubspotusercontent-na1.net/hubfs/14527135/Website%20content/Product%20pages/IoGABAergic%20Neurons/ioGABAergic%20Neurons%20New%20website%202022/Hero%20image%20V4.png, height=2000}, year={label=2024, value=2024}, summary=<p>Dr Brian Gill, MD | Assistant Professor of Neurological Surgery| Columbia University Irving Medical Center<br><br>Dr Tony Oosterveen | Principal Scientist and CNS Lead, Neurobiology | bit.bio</p> <p>&nbsp;</p>, date_published=1715212800000, sort_date=1715212800000, tags=[{label=ioAstrocytes, value=ioAstrocytes}, {label=Webinars , value=webinars}, {label=Webinar | Uncovering the Glioma Microenvironment, value=webinar_|_uncovering_the_glioma_microenvironment}, {label=ioGABAergic Neurons!, value=iogabaergic_neurons}], media_contact=null, listing_button_label=Watch now}, {hs_name=Exploring the critical roles of astrocytes in health and disease, hs_id=180505547033, hs_path=exploring-the-critical-roles-of-astrocytes-in-health-and-disease, button_label=null, button_link=null, type={label=Webinar, value=Webinar}, thumbnail={alt_text=ioAstrocyte - Hero image 20x, width=3954, url=https://14527135.fs1.hubspotusercontent-na1.net/hubfs/14527135/Website%20content/Product%20pages/ioAstrocytes/ioAstrocyte%20-%20Hero%20image%2020x.png, height=3954}, year={label=2024, value=2024}, summary=Jeremy Krohn | PhD candidate | German Center for Neurodegenerative Diseases (DZNE) Charité Medical Neuroscience Graduate Program<br><br>Tom Brown | Senior Product Manager | bit.bio, date_published=1728345600000, sort_date=1728345600000, tags=[{label=ioAstrocytes, value=ioAstrocytes}, {label=Webinars , value=webinars}, {label=Webinar | Exploring the critical roles of astrocytes, value=webinar_|_exploring_the_critical_roles_of_astrocytes}], media_contact=null, listing_button_label=Watch now}, {hs_name=Powering a new generation of physiologically relevant CRISPR screens, hs_id=181723492683, hs_path=powering-a-new-generation-of-physiologically-relevant-crispr-screens, button_label=null, button_link=null, type={label=Webinar, value=Webinar}, thumbnail={alt_text=CRISPR-tool-box-webinar, width=906, url=https://14527135.fs1.hubspotusercontent-na1.net/hubfs/14527135/CRISPR-tool-box-webinar.png, height=685}, year={label=2024, value=2024}, summary=<p>Professor Luke Gilbert | Associate Professor | University of California San Francisco</p> <p>Sejla Salic-Hainzl | Vice President of Research and Development | bit.bio<br><br></p>, date_published=1729555200000, sort_date=1729555200000, tags=[{label=CRISPR-Ready ioCells, value=CRISPR-Ready ioCells}, {label=Webinars , value=webinars}, {label=Webinar | Powering a new generation, value=webinar_|_powering_a_new_generation}], media_contact=null, listing_button_label=Watch now}, {hs_name=Human iPSC-Based Models of Glial Cells for Studying Neurodegenerative Disease, hs_id=183096620633, hs_path=human-ipsc-based-models-of-glial-cells-for-studying-neurodegenerative-disease, button_label=null, button_link=null, type={label=Webinar, value=Webinar}, thumbnail={alt_text=bitbio-oligodendrocyte-like-cells-O4-MBP-immunocytochemistry, width=1000, url=https://14527135.fs1.hubspotusercontent-na1.net/hubfs/14527135/Website%20content/Product%20pages/ioOligodendrocyte-like%20cells/bitbio-oligodendrocyte-like-cells-O4-MBP-immunocytochemistry.jpg, height=1350}, year={label=2024, value=2024}, summary=Valentina Fossati, PhD | Senior Research Investigator | The New York Stem Cell Foundation<br><br>Inês Ferreira | Senior Product Manager | bit.bio, date_published=1732233600000, sort_date=1732233600000, tags=[{label=ioGlutamatergic Neurons, value=ioGlutamatergic Neurons}, {label=ioOligodendrocyte-like cells, value=ioOligodendrocyte-like cells}, {label=Webinars , value=webinars}, {label=Webinar | Human iPSC-Based Models of Glial , value=webinar_|_human_ipsc-based_models_of_glial}], media_contact=null, listing_button_label=Watch now}, {hs_name=Principles, pitfalls, and progress in modelling human liver toxicity and pharmacology in vitro, hs_id=183680450957, hs_path=principles-pitfalls-and-progress-in-modelling-human-liver-toxicity-and-pharmacology-in-vitro, button_label=null, button_link=null, type={label=Webinar, value=Webinar}, thumbnail={alt_text=ICC-ioHeps, width=650, url=https://14527135.fs1.hubspotusercontent-na1.net/hubfs/14527135/Emails/Webinar/ICC-ioHeps.png, height=650}, year={label=2024, value=2024}, summary=<p>Stephen Ferguson, PhD | Investigator, Mechanistic Toxicology | Division of Translational Toxicology (DTT) | National Institute of Environmental Health Sciences</p> <p>&nbsp;</p> <p>Tom Brown | Senior Product Manager | bit.bio</p>, date_published=1733702400000, sort_date=1733702400000, tags=[{label=ioHepatocytes , value=iohepatocytes}, {label=Webinars , value=webinars}, {label=Webinar | Principles, pitfalls, and progress, value=webinar_|_principles_pitfalls_and_progress}], media_contact=null, listing_button_label=Watch now}, {hs_name=Sex differences in neurological research, hs_id=187101246980, hs_path=sex-differences-in-neurological-research, button_label=null, button_link=null, type={label=Webinar, value=Webinar}, thumbnail={alt_text=ioMicroglia female hero image V2, width=1801, url=https://14527135.fs1.hubspotusercontent-na1.net/hubfs/14527135/ioMicroglia%20female/ioMicroglia%20female%20hero%20image%20V2.png, height=3000}, year={label=2025, value=2025}, summary=<p>Antonella Santuccione Chadha, MD | Founder and CEO | Women’s Brain Foundation<br><br></p> <p>Melanie Einsiedler, PhD | Scientific Contributor | Women’s Brain Foundation</p> <p><br>Rebecca Northeast, PhD | Senior Product Manager | bit.bio</p>, date_published=1740614400000, sort_date=1740614400000, tags=[{label=ioMicroglia, value=ioMicroglia}, {label=Webinars , value=webinars}, {label=Webinar | Sex differences in neurological research, value=webinar_|_sex_differences_in_neurological_research}], media_contact=null, listing_button_label=Watch now}, {hs_name=Progress in applying human iPSC-derived cells to drug discovery, hs_id=187851996078, hs_path=progress-in-applying-human-ipsc-derived-cells-to-drug-discovery, button_label=null, button_link=null, type={label=Webinar, value=Webinar}, thumbnail={alt_text=ioOligodendrocyte-like cells in co-culture with ioGlutamatergic Neurons, width=721, url=https://14527135.fs1.hubspotusercontent-na1.net/hubfs/14527135/ioOligodendrocyte-like%20cells%20in%20co-culture%20with%20ioGlutamatergic%20Neurons.png, height=721}, year={label=2025, value=2025}, summary=<p>Sebastian Fiedler, PhD | Applications Marketing Manager | bit.bio<br><br></p> <p>Malika Bsibsi, PhD | <span>Research Leader Neuroscience</span> | Charles River Laboratories</p> <p><br>Austin Passaro, PhD | <span>Global Product Manager MEA</span> | Axion Biosystems</p> <p><br>Cicely Schramm, PhD | <span>Head of Biology Imaging</span> | Sartorius</p>, date_published=1742860800000, sort_date=1742860800000, tags=[{label=Webinars , value=webinars}, {label=Webinar | Progress in applying human iPSC, value=webinar_|_progress_in_applying_human_ipsc}], media_contact=null, listing_button_label=Watch now}, {hs_name=Harnessing AI-guided visual biology to discover drug targets for neurodegenerative disease, hs_id=189003500550, hs_path=harnessing-ai-guided-visual-biology-to-discover-drug-targets-for-neurodegenerative-disease, button_label=null, button_link=null, type={label=Webinar, value=Webinar}, thumbnail={alt_text=ioMotor Neuron Hero image for Webinar (1), width=2040, url=https://14527135.fs1.hubspotusercontent-na1.net/hubfs/14527135/Website%20content/Upcoming%20Webinars/Select%20Science%20Jan%202024%20-%20Empowering%20MND%20research/ioMotor%20Neuron%20Hero%20image%20for%20Webinar%20(1).png, height=1380}, year={label=2025, value=2025}, summary=<p>Ben Bar-Sadeh, PhD | Senior Scientist | Anima Biotech<br><br></p> <p>Tom Brown | Senior Product Manager | bit.bio</p>, date_published=1744243200000, sort_date=1744243200000, tags=[{label=ioMotor Neurons, value=ioMotor Neurons}, {label=Webinars , value=webinars}, {label=Webinar | Harnessing AI-guided visual, value=webinar_|_harnessing_ai-guided_visual}], media_contact=null, listing_button_label=Watch now}, {hs_name=Tackling the reproducibility crisis with standardised human cells, hs_id=189930844541, hs_path=tackling-the-reproducibility-crisis-with-standardised-human-cells, button_label=null, button_link=null, type={label=Webinar, value=Webinar}, thumbnail={alt_text=ioMicroglia TREM2 R47H Hom Hero image compressed FINAL, width=492, url=https://14527135.fs1.hubspotusercontent-na1.net/hubfs/14527135/Website%20content/Product%20pages/ioMicroglia/ioMicroglia%20Disease%20Models/ioMicroglia%20TREM2%20R47H%20Hom/ioMicroglia%20TREM2%20R47H%20Hom%20Hero%20image%20compressed%20FINAL.png, height=759}, year={label=2025, value=2025}, summary=<p>Marius Wernig, Professor | Departments of Pathology and Chemical, and Systems Biology and Co-Director of the Institute for Stem Cell Biology and Regenerative Medicine | Stanford University<br><br></p> <p>Samantha Morris, PhD | Principle Investigator | Brigham and Women’s Hospital and Harvard Medical School, Department of Systems Biology</p> <p><br>Thomas Moreau, PhD | Vice President of Cell Programming Research | bit.bio</p> <p>&nbsp;</p>, date_published=1745884800000, sort_date=1745884800000, tags=[{label=Webinars , value=webinars}, {label=Webinar | Tackling the reproducibility crisis , value=webinar_|_tackling_the_reproducibility_crisis}], media_contact=null, listing_button_label=Watch now}, {hs_name=MEA workshop | Tips and tricks for iPSC-derived neurons, hs_id=190978185234, hs_path=mea-workshop-tips-and-tricks-for-ipsc-derived-neurons, button_label=null, button_link=null, type={label=Webinar, value=Webinar}, thumbnail={alt_text=ioGlutamatergic-Neurons-CRISPR-Ready-Hero-Image-1-1, width=1275, url=https://14527135.fs1.hubspotusercontent-na1.net/hubfs/14527135/Website%20content/Product%20pages/ioGlutamatergic%20Neurons/CRISPRko-Ready%20ioGlutamatergic%20Neurons/ioGlutamatergic-Neurons-CRISPR-Ready-Hero-Image-1-1.jpeg, height=779}, year={label=2025, value=2025}, summary=<p>Luke Foulser, MSc | Field Applications Scientist | bit.bio</p> <p><br>Austin Passaro, PhD | <span>Global Product Manager MEA</span> | Axion Biosystems</p>, date_published=1748908800000, sort_date=1748908800000, tags=[{label=Webinars , value=webinars}, {label=Webinar | MEA workshop, value=webinar_|_mea_workshop}], media_contact=null, listing_button_label=Watch now}, {hs_name=Cell counting workshop | Top tips for human iPSC-derived cells, hs_id=191333985682, hs_path=cell-counting-workshop-top-tips-for-human-ipsc-derived-cells, button_label=null, button_link=null, type={label=Webinar, value=Webinar}, thumbnail={alt_text=Hero image ioGABA ICC, width=2000, url=https://14527135.fs1.hubspotusercontent-na1.net/hubfs/14527135/Website%20content/Product%20pages/ioGABAergic%20Neurons/ioGABAergic%20Neurons%20New%20website%202022/Hero%20image%20ioGABA%20ICC.png, height=2000}, year={label=2025, value=2025}, summary=<p>Jack Gowen, MSc | Scientist, QC and GMP, Analytical Development | bit.bio</p> <p><br>Charlotte Durham, BSc | Operational Quality Manager | bit.bio</p>, date_published=1753142400000, sort_date=1753142400000, tags=[{label=Webinars , value=webinars}], media_contact=null, listing_button_label=Watch now}, {hs_name=Exploring the application of deterministically programmed hiPSCs to advance early-stage drug discovery , hs_id=193031455308, hs_path=exploring-the-application-of-deterministically-programmed-hipscs-to-advance-early-stage-drug-discovery, button_label=null, button_link=null, type={label=Webinar, value=Webinar}, thumbnail={alt_text=human-GFP-microglia-iba1-dapi-p2ry12, width=742, url=https://14527135.fs1.hubspotusercontent-na1.net/hubfs/14527135/Website%20content/human-GFP-microglia-iba1-dapi-p2ry12.png, height=556}, year={label=2025, value=2025}, summary=<p>Thomas Moreau, PhD | VP Cell Programming Research | bit.bio</p> <p><br>Ann Byrne, MSc | Regional Sales Manager, APAC | bit.bio</p> <p><br>Gianmarco Mastrogiovanni, PhD | Principle Scientist - Cell Type Development | bit.bio</p> <p>&nbsp;</p> <p>&nbsp;</p>, date_published=1756166400000, sort_date=1756166400000, tags=[{label=Webinars , value=webinars}], media_contact=null, listing_button_label=Watch now}, {hs_name=Immunocytochemistry workshop Top tips for human iPSC-derived cells, hs_id=196526230936, hs_path=immunocytochemistry-workshop-top-tips-for-human-ipsc-derived-cells, button_label=null, button_link=null, type={label=Webinar, value=Webinar}, thumbnail={alt_text=iomotor_neuron_HERO_ICC_top_CROP2_COMPRESS-1, width=2164, url=https://14527135.fs1.hubspotusercontent-na1.net/hubfs/14527135/Website%20content/Product%20pages/ioMotor%20Neurons/iomotor_neuron_HERO_ICC_top_CROP2_COMPRESS-1.png, height=1443}, year={label=2025, value=2025}, summary=<p>Fuad Mosis, PhD | Technical Support Specialist | bit.bio</p>, date_published=1758672000000, sort_date=1758672000000, tags=[{label=Webinars , value=webinars}], media_contact=null, listing_button_label=Watch now}, {hs_name=Transfection workshop Top tips for human iPSC-derived cells, hs_id=199674099755, hs_path=transfection-workshop-top-tips-for-human-ipsc-derived-cells, button_label=null, button_link=null, type={label=Webinar, value=Webinar}, thumbnail={alt_text=ioMicroglia APOE4 Hom Hero croppped compressed, width=1177, url=https://14527135.fs1.hubspotusercontent-na1.net/hubfs/14527135/Website%20content/Product%20pages/ioMicroglia/ioMicroglia%20Disease%20Models/ioMicroglia%20APOE4%20C112R%20Hom/Hero%20image/ioMicroglia%20APOE4%20Hom%20Hero%20croppped%20compressed.png, height=1085}, year={label=2025, value=2025}, summary=<p>Sarah Hussain | Scientist | bit.bio</p> <p><br>Tulin Tatar Ozkan, PhD | Senior Scientist II | bit.bio</p>, date_published=1762819200000, sort_date=1762819200000, tags=[{label=Webinars , value=webinars}], media_contact=null, listing_button_label=Watch now}])
Transfection workshop Top tips for human iPSC-derived cells Webinar
Transfection workshop Top tips for human iPSC-derived cells

Sarah Hussain | Scientist | bit.bio


Tulin Tatar Ozkan, PhD | Senior Scientist II | bit.bio

Watch now
Targeting Neurodegeneration: An AI-guided Visual Biology Approach to discover drug targets for neurodegenerative disease Talk
Targeting Neurodegeneration: An AI-guided Visual Biology Approach to discover drug targets for neurodegenerative disease

Dr Ben Bar-Sadeh | Senior Scientist | Anima Biotech

 

Human Cell Forum 2025 
Session 3 | Making complex human biology compatible with modern drug discovery workflows

Watch now
Toward clinical trial in a dish: harnessing iPSC models in drug discovery Talk
Toward clinical trial in a dish: harnessing iPSC models in drug discovery

Dr Sara Martin | Scientist | Axxam

 

Human Cell Forum 2025 
Session 3 | Making complex human biology compatible with modern drug discovery workflows

Watch now
rAAV meets ioNeurons: Pioneering the future of translational neurotherapies Talk
rAAV meets ioNeurons: Pioneering the future of translational neurotherapies

Dr Martina Esposito Soccoio | Senior Research Associate | AviadoBio

 

Human Cell Forum 2025
Session 3 | Making complex human biology compatible with modern drug discovery workflows

Watch now
CRISPR meets opti-ox™  - Harnessing CRISPR-Ready ioCells for drug discovery in neurodegenerative diseases Talk
CRISPR meets opti-ox™ - Harnessing CRISPR-Ready ioCells for drug discovery in neurodegenerative diseases

Sejla Salic-Hainzl | Vice President of R&D | bit.bio discovery

 

Human Cell Forum 2025
Session 2 | bit.bio insider: Tools, tips, and what’s coming next

Watch now
Development of human iPSC-derived hepatocytes for drug discovery, translational research and toxicity testing Talk
Development of human iPSC-derived hepatocytes for drug discovery, translational research and toxicity testing

Dr Gianmarco Mastrogiovanni | Principal Scientist - Cell Type Development | bit.bio

 

Human Cell Forum 2025
Session 2 | bit.bio insider: Tools, tips, and what’s coming next

Watch now
Comparing human iPSC-derived ioMicroglia to immortalised HMC3 cell line: A case study Talk
Comparing human iPSC-derived ioMicroglia to immortalised HMC3 cell line: A case study

Euan Yates | Scientist | bit.bio

 

Human Cell Forum 2025
Session 2 | bit.bio insider: Tools, tips, and what’s coming next

Watch now
Unlocking success with ioCells: Overcoming challenges and maximising outcomes Talk
Unlocking success with ioCells: Overcoming challenges and maximising outcomes

Luke Foulser | Field Applications Scientist | bit.bio

 

Human Cell Forum 2025
Session 2 | bit.bio insider: Tools, tips, and what’s coming next

Watch now
Using human iPSC-derived ioSkeletal Myocytes and ioMotor Neurons to model complex neuromuscular systems in vitro Talk
Using human iPSC-derived ioSkeletal Myocytes and ioMotor Neurons to model complex neuromuscular systems in vitro

Dr Grace Cooper | Senior Scientist | bit.bio

 

Human Cell Forum 2025
Session 1 Track 2 | From cells to systems: Building human iPSC-derived models of pain, neuromuscular junctions, and glial dynamics

Watch now
Astrocytic calcium imaging – from mouse to human systems Talk
Astrocytic calcium imaging – from mouse to human systems

Jeremy Krohn | PhD Candidate | DZNE / Charité University of Medicine

 

Human Cell Forum 2025
Session 1 Track 2 | From cells to systems: Building human iPSC-derived models of pain, neuromuscular junctions, and glial dynamics

Watch now
Using ioSensory Neurons to model pain in osteoarthritis Talk
Using ioSensory Neurons to model pain in osteoarthritis

Dr Ryan Jones | Research Associate | Cardiff University


Human Cell Forum 2025
Session 1 Track 2 | From cells to systems: Building human iPSC-derived models of pain, neuromuscular junctions, and glial dynamics

Watch now
Characterising disease relevant signatures in iPSC-derived motor neurons to test the therapeutic potential of homeoprotein EN1 Talk
Characterising disease relevant signatures in iPSC-derived motor neurons to test the therapeutic potential of homeoprotein EN1

Dr Elizabeth Di Lullo | Associate Scientific Director | BrainEver

Human Cell Forum 2025
Session 1 Track 1 | Modelling neurodegeneration in vitro with human iPSC-derived cells

Watch now
In Vitro Approaches to Neurodegeneration: Characterisation of ioGlutamatergic Neurons as PD models Talk
In Vitro Approaches to Neurodegeneration: Characterisation of ioGlutamatergic Neurons as PD models

Dr Irantzu Perez Ruiz | Study Director | Scantox Neuro

 

Human Cell Forum 2025
Session 1 Track 1 | Modelling neurodegeneration in vitro with human iPSC-derived cells

Watch now
Ameliorating cellular stress in neurodegeneration Talk
Ameliorating cellular stress in neurodegeneration

Dr Emmanouil Metzakopian | Visiting researcher | University of Cambridge

 

Human Cell Forum 2025
Session 1 Track 1 | Modelling neurodegeneration in vitro with human  iPSC-derived cells

Watch now
Immunocytochemistry workshop  Top tips for human iPSC-derived cells Webinar
Immunocytochemistry workshop Top tips for human iPSC-derived cells

Fuad Mosis, PhD | Technical Support Specialist | bit.bio

Watch now
Exploring the application of deterministically programmed hiPSCs to advance early-stage drug discovery  Webinar
Exploring the application of deterministically programmed hiPSCs to advance early-stage drug discovery 

Thomas Moreau, PhD | VP Cell Programming Research | bit.bio


Ann Byrne, MSc | Regional Sales Manager, APAC | bit.bio


Gianmarco Mastrogiovanni, PhD | Principle Scientist - Cell Type Development | bit.bio

 

 

Watch now
Cell counting workshop | Top tips for human iPSC-derived cells Webinar
Cell counting workshop | Top tips for human iPSC-derived cells

Jack Gowen, MSc | Scientist, QC and GMP, Analytical Development | bit.bio


Charlotte Durham, BSc | Operational Quality Manager | bit.bio

Watch now
MEA workshop | Tips and tricks for iPSC-derived neurons Webinar
MEA workshop | Tips and tricks for iPSC-derived neurons

Luke Foulser, MSc | Field Applications Scientist | bit.bio


Austin Passaro, PhD | Global Product Manager MEA | Axion Biosystems

Watch now
Tackling the reproducibility crisis with standardised human cells Webinar
Tackling the reproducibility crisis with standardised human cells

Marius Wernig, Professor | Departments of Pathology and Chemical, and Systems Biology and Co-Director of the Institute for Stem Cell Biology and Regenerative Medicine | Stanford University

Samantha Morris, PhD | Principle Investigator | Brigham and Women’s Hospital and Harvard Medical School, Department of Systems Biology


Thomas Moreau, PhD | Vice President of Cell Programming Research | bit.bio

 

Watch now
Harnessing AI-guided visual biology to discover drug targets for neurodegenerative disease Webinar
Harnessing AI-guided visual biology to discover drug targets for neurodegenerative disease

Ben Bar-Sadeh, PhD | Senior Scientist | Anima Biotech

Tom Brown | Senior Product Manager | bit.bio

Watch now
Progress in applying human iPSC-derived cells to drug discovery Webinar
Progress in applying human iPSC-derived cells to drug discovery

Sebastian Fiedler, PhD | Applications Marketing Manager | bit.bio

Malika Bsibsi, PhD | Research Leader Neuroscience | Charles River Laboratories


Austin Passaro, PhD | Global Product Manager MEA | Axion Biosystems


Cicely Schramm, PhD | Head of Biology Imaging | Sartorius

Watch now
Sex differences in neurological research Webinar
Sex differences in neurological research

Antonella Santuccione Chadha, MD | Founder and CEO | Women’s Brain Foundation

Melanie Einsiedler, PhD | Scientific Contributor | Women’s Brain Foundation


Rebecca Northeast, PhD | Senior Product Manager | bit.bio

Watch now
Principles, pitfalls, and progress in modelling human liver toxicity and pharmacology in vitro Webinar
Principles, pitfalls, and progress in modelling human liver toxicity and pharmacology in vitro

Stephen Ferguson, PhD | Investigator, Mechanistic Toxicology | Division of Translational Toxicology (DTT) | National Institute of Environmental Health Sciences

 

Tom Brown | Senior Product Manager | bit.bio

Watch now
Human iPSC-Based Models of Glial Cells for Studying Neurodegenerative Disease Webinar
Human iPSC-Based Models of Glial Cells for Studying Neurodegenerative Disease
Valentina Fossati, PhD | Senior Research Investigator | The New York Stem Cell Foundation

Inês Ferreira | Senior Product Manager | bit.bio
Watch now
Powering a new generation of physiologically relevant CRISPR screens Webinar
Powering a new generation of physiologically relevant CRISPR screens

Professor Luke Gilbert | Associate Professor | University of California San Francisco

Sejla Salic-Hainzl | Vice President of Research and Development | bit.bio

Watch now
Exploring the critical roles of astrocytes in health and disease Webinar
Exploring the critical roles of astrocytes in health and disease
Jeremy Krohn | PhD candidate | German Center for Neurodegenerative Diseases (DZNE) Charité Medical Neuroscience Graduate Program

Tom Brown | Senior Product Manager | bit.bio
Watch now
Advancing drug discovery: leveraging CRISPR-Ready ioMicroglia for functional genomics studies Poster
Advancing drug discovery: leveraging CRISPR-Ready ioMicroglia for functional genomics studies
Schmidt et al.,
bit.bio
2024
Download
Human iPSC-derived DMD skeletal myocytes for 3D functional studies and dystrophin restoration Poster
Human iPSC-derived DMD skeletal myocytes for 3D functional studies and dystrophin restoration

Bernard, et al

bit.bio

2024

Download
CRISPR knockout screening for drug target identification and validation using CRISPR-Ready ioMicroglia Poster
CRISPR knockout screening for drug target identification and validation using CRISPR-Ready ioMicroglia
Schmidt, et al
bit.bio
2024
Download
Uncovering the Glioma Microenvironment With In Vitro Neuronal Models Webinar
Uncovering the Glioma Microenvironment With In Vitro Neuronal Models

Dr Brian Gill, MD | Assistant Professor of Neurological Surgery| Columbia University Irving Medical Center

Dr Tony Oosterveen | Principal Scientist and CNS Lead, Neurobiology | bit.bio

 

Watch now
MaxWell Summit 2024 Poster Presentation with Luke Foulser ioMotor Neurons Video
MaxWell Summit 2024 Poster Presentation with Luke Foulser ioMotor Neurons

Luke Foulser | Scientist | bit.bio

Watch
SynBio + Pharma: Revolutionizing the Future of Medicine Main Stage at SynBioBeta 2023 Video
SynBio + Pharma: Revolutionizing the Future of Medicine Main Stage at SynBioBeta 2023
SynBioBeta 2023 Main stage
Watch
Rapid and consistent generation of functional motor neurons from reprogrammed human iPSCs using opti-ox technology Poster
Rapid and consistent generation of functional motor neurons from reprogrammed human iPSCs using opti-ox technology
Foulser, et al 
bit.bio
2024
Download
Generation and characterisation of a panel of human iPSC-derived neurons and microglia carrying early and late onset relevant mutations for Alzheimer’s disease Poster
Generation and characterisation of a panel of human iPSC-derived neurons and microglia carrying early and late onset relevant mutations for Alzheimer’s disease
Smith, et al. 
bit.bio
2024
Download
Empowering motor neuron disease research and drug discovery with a new class of functional, reproducible hiPSC-derived motor neurons Webinar
Empowering motor neuron disease research and drug discovery with a new class of functional, reproducible hiPSC-derived motor neurons

Tom Brown | Senior Product Manager | bit.bio

Marcos Herrera Vaquero, PhD | Senior Scientist | bit.bio
Watch now
Consistent and rapid generation of functional motor neurons from reprogrammed human iPSCs using opti-ox technology Poster
Consistent and rapid generation of functional motor neurons from reprogrammed human iPSCs using opti-ox technology

Vaquero, et al

bit.bio

2023

Download
Running Large-Scale CRISPR Screens in Human Neurons Webinar
Running Large-Scale CRISPR Screens in Human Neurons

Emmanouil Metzakopian | Vice President, Research and Development | bit.bio

Javier Conde-Vancells | Director Product Management | bit.bio

Watch now
Advancements in 3D modeling: Building mature, functional 3D skeletal muscle microtissues in vitro Webinar
Advancements in 3D modeling: Building mature, functional 3D skeletal muscle microtissues in vitro

Dr Marieke Aarts | Principal Scientist | Bi/ond

Amanda Turner | Senior Product Manager | bit.bio

Watch now
Generation of 3D skeletal muscle microtissues using ioSkeletal Myocytes Poster
Generation of 3D skeletal muscle microtissues using ioSkeletal Myocytes

Dr Mitchell Han

Bi/ond

2023

View
opti-ox by bit.bio Video
opti-ox by bit.bio

V2

bit.bio

2023

Watch
Addressing the Reproducibility Crisis | Driving Genome-Wide Consistency in Cellular Reprogramming Webinar
Addressing the Reproducibility Crisis | Driving Genome-Wide Consistency in Cellular Reprogramming

Dr Ania Wilczynska | Head of Computational Genomics | Non-Clinical | bit.bio

Watch now
Industrialising Cellular Reprogramming: Leveraging opti-ox Technology to Manufacture Human Cells with Unprecedented Consistency Talk
Industrialising Cellular Reprogramming: Leveraging opti-ox Technology to Manufacture Human Cells with Unprecedented Consistency

Innovation showcase talk at ISSCR

Marius Wernig MD, PhD | Stanford 

Mark Kotter, MD, PhD | bit.bio

Watch now
Mastering Cell Identity In A Dish: The Power Of Cellular Reprogramming Webinar
Mastering Cell Identity In A Dish: The Power Of Cellular Reprogramming

Prof Roger Pedersen | Adjunct Professor and Senior Research Scientist at Stanford University 

Dr Thomas Moreau | Director of Cell Biology Research | bit.bio

Watch now
Rethinking Developmental Biology With Cellular Reprogramming Webinar
Rethinking Developmental Biology With Cellular Reprogramming

Mark Kotter | CEO and founder | bit.bio

Marius Wernig | Professor Departments of Pathology and Chemical and Systems Biology |  Stanford University

Watch now
Precision Cellular Reprogramming for Scalable and Consistent Human Neurodegenerative Disease Models Talk
Precision Cellular Reprogramming for Scalable and Consistent Human Neurodegenerative Disease Models

Madeleine Garrett | Field Application Specialist | bit.bio

Watch now
Unlocking the Potential of RNA Therapies in Autism Spectrum Disorder How Definitive Human iPSC-derived Cells are Paving the Way Webinar
Unlocking the Potential of RNA Therapies in Autism Spectrum Disorder How Definitive Human iPSC-derived Cells are Paving the Way

Rodney A. Bowling Jr., Ph.D. | Chief Scientific Officer |  Everlum Bio

Malathi Raman Ph.D. | Senior Product Manager | bit.bio

Watch now
Genotype and phenotype validation of an isogenic human iPSC-derived neuronal model of Huntington’s Disease Poster
Genotype and phenotype validation of an isogenic human iPSC-derived neuronal model of Huntington’s Disease

Oosterveen, et al

bit.bio

2022

View
Development and characterisation of a robust in vitro disease model to study tauopathies Poster
Development and characterisation of a robust in vitro disease model to study tauopathies

Ritsma, et al

Charles River Laboratories & bit.bio

2022

View
Rapid and consistent generation of functional microglia from reprogrammed hiPSCs to study neurodegeneration and neuroinflammation Poster
Rapid and consistent generation of functional microglia from reprogrammed hiPSCs to study neurodegeneration and neuroinflammation

Raman, et al

bit.bio

2022

View
Alzheimer’s Disease Pathogenesis: Emerging Role of Microglia Webinar
Alzheimer’s Disease Pathogenesis: Emerging Role of Microglia

Dr Matthias Pawlowski | Head, Dementia-Sensitive Hospital | University of Münster

Dr Malathi Raman | Senior Product Manager | bit.bio

Watch now
Introducing ioGlutamatergic Neurons HTT 50CAG/WT | A next-generation approach to study Huntington's disease Video
Introducing ioGlutamatergic Neurons HTT 50CAG/WT | A next-generation approach to study Huntington's disease

bit.bio

Watch
Improving Huntington’s disease drug discovery with new reproducible disease models Webinar
Improving Huntington’s disease drug discovery with new reproducible disease models

Dr Emma V Jones | Senior Scientist | Medicines Discovery Catapult

Dr Tony Oosterveen | Senior Scientist | bit.bio

Watch now
Modelling neurodevelopment | Investigating the impact of maternal immune activation on neurodevelopment using human iPSC-derived cells Webinar
Modelling neurodevelopment | Investigating the impact of maternal immune activation on neurodevelopment using human iPSC-derived cells

Dr Deepak Srivastava | King’s College London

Watch now
Modelling human neurodegenerative diseases in research & drug discovery Webinar
Modelling human neurodegenerative diseases in research & drug discovery

Dr Mariangela Iovino | Group Leader | Charles River

Dr Tony Oosterveen | Senior Scientist | bit.bio

Watch now
Introducing ioSkeletal Myocytes | Developing the next generation of human muscle cells Video
Introducing ioSkeletal Myocytes | Developing the next generation of human muscle cells

Dr Will Bernard | Director of Cell Type Development | bit.bio

Watch
Research in Motion with ioSkeletal Myocytes Webinar
Research in Motion with ioSkeletal Myocytes

Dr Luke Flatt | Senior Scientist | Charles River Laboratories

Dr Will Bernard | Senior Scientist | bit.bio




Watch now
Partnering with Charles River to advance CNS drug discovery with ioGlutamatergic Neurons Video
Partnering with Charles River to advance CNS drug discovery with ioGlutamatergic Neurons

Dr Marijn Vlaming | Head of Biology, et al.

Charles River & bit.bio

Watch
In Conversation with Charles River Video
In Conversation with Charles River

Dr Marijn Vlaming | Head of Biology
Charles River

Watch
Cellular reprogramming to enable the precise and scalable manufacturing of human cells for therapeutic applications Talk
Cellular reprogramming to enable the precise and scalable manufacturing of human cells for therapeutic applications

Dr Alex Davenport | Senior Scientist | bit.bio

Talk at ELRIG Cell & Gene Therapy

2021

Watch now
CRISPR and the Art of Perturbation Screening: Unbiased functional genomic screening meets the best human cellular models Talk
CRISPR and the Art of Perturbation Screening: Unbiased functional genomic screening meets the best human cellular models

Kam Dhaliwal | SVP Strategic Alliances | bit.bio


Talk at ELRIG CRISPR in Drug Discovery

Watch now
Addressing current challenges of in vitro cell models Talk
Addressing current challenges of in vitro cell models

Kings College London & bit.bio

Panel discussion at Oxford Global Discovery UK

Watch now
High Content Analysis of 2D and 3D cellular models for target and phenotypic drug discovery Poster
High Content Analysis of 2D and 3D cellular models for target and phenotypic drug discovery

Lachize, et al

Courtesy of Charles River Laboratories

2020

View
Consistent and scalable human iPSC-derived cells for in vitro disease modelling and drug discovery Talk
Consistent and scalable human iPSC-derived cells for in vitro disease modelling and drug discovery

Kam Dhaliwal SVP Strategic Alliances | bit.bio
Dr Thomas Moreau | Head of Research | bit.bio


Talk at ELRIG Drug Discovery Digital

Watch now
Solving the R&D efficiency conundrum within Drug Discovery: Thoughts, Insights and Solutions Talk
Solving the R&D efficiency conundrum within Drug Discovery: Thoughts, Insights and Solutions

bit.bio (chair) |  AstraZeneca | PhoreMost Ltd | Aelian Biotechnology GmbH | Charles River

 

Panel discussion at ELRIG Drug Discovery Digital

Watch now
Accelerating in vitro target and drug discovery using reprogrammed glutamatergic neurons Video
Accelerating in vitro target and drug discovery using reprogrammed glutamatergic neurons

Dr Shushant Jain | Group Leader In Vitro Biology | Charles River

Interview at SLAS

Watch
Advances in cellular reprogramming: from stem cells to printed tissues Webinar
Advances in cellular reprogramming: from stem cells to printed tissues

Prof Hagan Bayley | University of Oxford
Dr Mark Kotter | Founder and CEO | bit.bio

Watch now

Related pages

Our platform Discover the cell coding platform behind our cells
Product catalogue See the range of human iPSC-derived cells for research and drug discovery
Resources Explore our latest scientific insights, webinars, blogs and videos